Facebook
Twitter
Youtube
Bollywood
Business
Chai With Manju
Community
Health
India
Lifestyle
NECA
NRIs
Weddings
Woman of the Year
Search
Monday, December 15, 2025
Contact
Advertising
Editorial Calendar
Subscribe to Newsletter
Community Calendar
Facebook
Twitter
Youtube
Sign in
Welcome! Log into your account
your username
your password
Forgot your password? Get help
Password recovery
Recover your password
your email
A password will be e-mailed to you.
INDIA New England News
Bollywood
Business
Chai With Manju
Community
Health
India
Lifestyle
NECA
NRIs
Weddings
Woman of the Year
Home
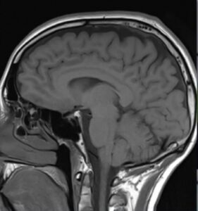
Genes linked to common brain disorder identified
brain
brain
Upcoming Events
Jan
24
12:30 pm
-
8:30 pm
IAGB Republic Day Celebration
Feb
22
11:00 am
-
4:00 pm
INDIA New England Spring Wedding Expo
View Calendar
MORE STORIES
‘Bhay: The Gaurav Tiwari Mystery’ Review: A Haunting Paranormal Tale Led...
December 13, 2025
Raj Kapoor’s Mera Naam Joker Helped Farah Khan Find the Iconic...
December 13, 2025
Kartik Aaryan Calls Heartbreak ‘a Shade of Love’ as New Song...
December 13, 2025
.td-header-style-1 .td-header-sp-logo {width:400px;}